心筋シンチグラフィは、運動や薬剤などで心筋に負荷をかける方法(負荷シンチグラフィ)と安静時に行う方法(安静シンチグラフィ)に分けられます。 このうち、負荷シンチグラフィは最も多く行われている検査法であり、安静時の検査と組み合わせて行われます。心筋血流分布を画像で表示し、負荷血流分布を評価できるので、虚血性心疾患の診断に不可欠な検査法です。PCI、冠動脈バイパス術などの効果判定および経過観察だけでなく、冠動脈疾患の予後・リスク評価に有用です。

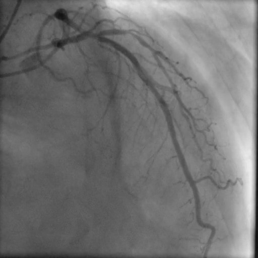
PCI前

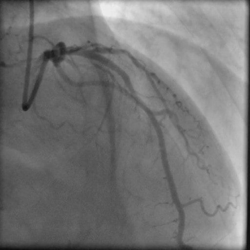
PCI後

PCI前

PCI後
心臓と血管の病気と治療を知る