心臓MRIは高い組織コントラストを有するので、様々な撮像プロトコールを組み合わせ、心筋の組織性状把握に有用な検査です。心臓の構造異常(心肥大、心拡大の有無・程度)が高い空間分解能で描出できます。また、複数の撮像方法、造影撮影を組み合わせることで心筋性状(傷害の有無、部位、程度)を知ることもできます。
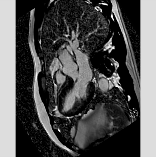
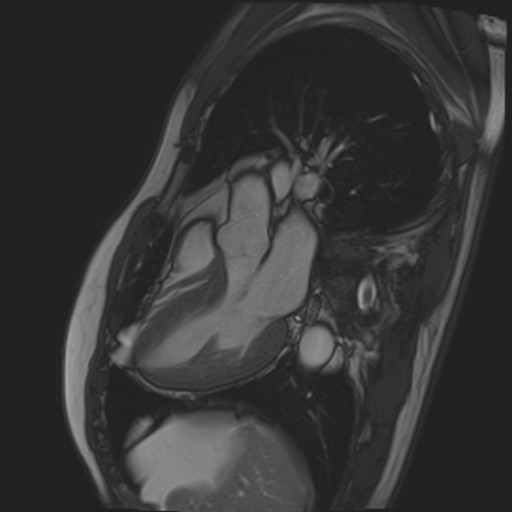
閉塞性肥大型心筋症の心臓に経皮的中隔心筋焼灼術 (PTSMA)を施した画像ですが、MRIでは造影剤を用いる事なく心臓の動きを捉えることができるだけでなく、エタノールにより壊死させた中隔心筋を明瞭に描画することができるので治療効果の判定に有用です。
PTSMA前


PTSMA後


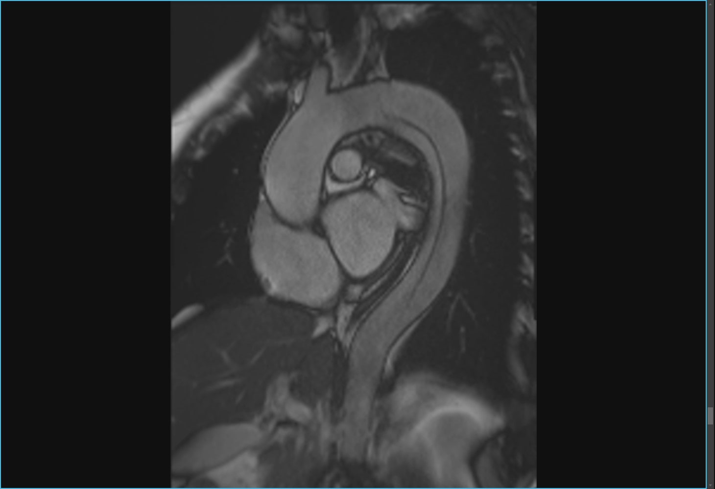
大動脈疾患の診断はCTを用いるのが一般的ですが、MRIは造影剤を用いないでも冠動脈を描出することや大動脈の血流動態の評価ができるので、造影剤アレルギーのある患者さんの血管診断に有効です。
慢性大動脈解離のMRI



生まれつき心臓の機能に障害がある疾患を先天性心疾患と呼称します。従来は小児科の病気として考えられていた先天性心疾患ですが、近年は治療技術の発達、内科治療の進歩により、多くのお子さんが思春期、成人期まで到達することが可能になっています。このように、先天性心疾患は成人循環器疾患の一分野となりつつあり、現在成人期に達している患者における先天性心疾患手術はかならずしも根治していない例が多く、長期間にわたり心血管形態や機能を繰り返し評価することになるため、折々の患者さんの容態に合わせた診断技術、特に非侵襲的な検査法の必要性が高まっています。榊󠄀󠄀󠄀󠄀󠄀󠄀原記念病院のMRI装置は、呼吸停止をすることなく、体格や胸郭変形にかかわらず、視野の制限なく再現性の高い画像を取得することができますから、複雑な体静脈または肺静脈奇形、大静脈肺動脈吻合、単心室や右心室の形態評価だけでなく、機能評価においても優れた診断能を有します。
乳児(4カ月)の自由呼吸下MRI




